Orientia tsutsugamushi
Orientia tsutsugamushi (от яп. ツツガ, tsutsuga — болезнь и ムシ, mushi — насекомое) — вид бактерий из семейства Rickettsiaceae, типовой вид рода ориенций[1] (Orientia)[2]. Возбудитель заболевания, известного как лихорадка цуцугамуши[3]. Является облигатным внутриклеточным паразитом клещей, принадлежащих к семейству Trombiculidae[4][5]. Эндемик так называемого «треугольника цуцугамуши», региона, охватывающего Дальний Восток на севере, Японию на востоке, северную Австралию на юге и Афганистан на западе. Впервые описана Наосуке Хаяси в 1920 году под названием Theileria tsutsugamushi, но в 1995 году переименована в Orientia tsutsugamushi.
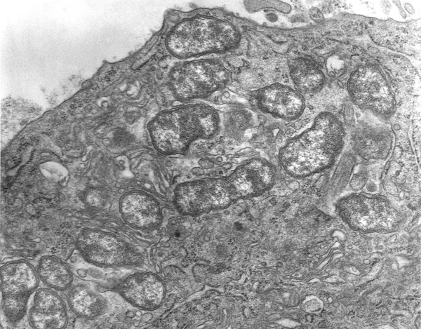
В отличие от других грамотрицательных бактерий, её нелегко окрашивать по Граму, поскольку клеточная стенка не содержит липофосфогликана и пептидогликана. Тем не менее, бактерия может быть антигенно классифицирована по множеству штаммов (подтипов). Классическими штаммами являются Karp (на долю которого приходится около 50 % всех инфекций), Gilliam (25 %), Kato (менее 10 %), Shimokoshi, Kuroki и Kawasaki[6]. Внутри каждого штамма также существует большая изменчивость. С геномом, размеры которого оцениваются в 2,0—2,7 МБ, бактерия имеет наиболее часто повторяющиеся последовательности ДНК среди секвенированных к настоящему времени бактериальных геномов.
Orientia tsutsugamushi естественным образом сохраняется в популяции клещей путем передачи от самки к ее яйцам (трансовариальная передача), от яиц к личинкам, а затем к взрослым особям (транстадиальная передача). Личинки клещей являются естественными эктопаразитами грызунов.
Что важно знать
| Orientia tsutsugamushi | |
|---|---|
| Научная классификация | |
|
Домен: Тип: Класс: Порядок: Семейство: Род: Вид: Orientia tsutsugamushi |
|
| Международное научное название | |
|
Orientia tsutsugamushi (Hayashi 1920) Tamura et al. 1995 |


