Ортопантомография

undefined
undefined
undefined

Ортопантомография (от греч.: orthos — прямой, правильный, pan — всё, tomos — ломоть, отрезанный кусок и grapho — писать, рисовать) — особый вид рентгеновской съёмки костей лицевого скелета, при котором они «развёртываются» в одну плоскость[1]. Другими словами рентгенологическое исследование в стоматологии, челюстно-лицевой хирургии, косметологии, позволяющее получать развёрнутое изображение всех зубов с челюстями, прилежащими отделами лицевого скелета. Является первичным рентгенологическим исследованием[2].
Ортопантомография (ОПТГ) бывает цифровой и плёночной. Однако в последние годы плёночная ОПТГ почти не применяется. Преимущество цифровой ОПТГ[2]:

  • снижение времени и дозы облучения пациента;
  • получение качественного изображения, подверженного последующим графическим обработкам;
  • возможность записи на магнитные носители с созданием электронных архивов.

Показания к ОПТГ
Выявление поражений:

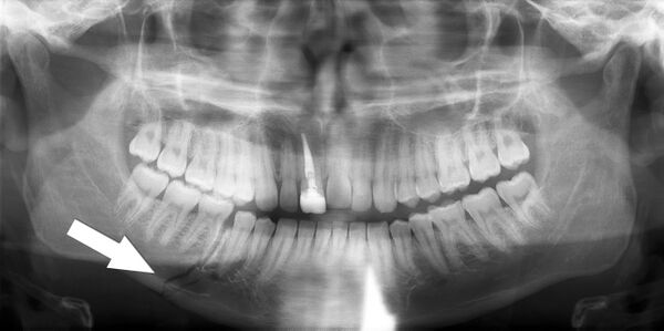
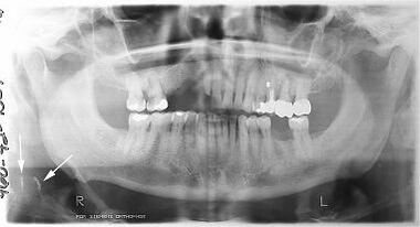
  1. Твёрдых тканей зуба. Воспаление (кариес), нарушение целостности зуба (перелом, дефект участка), наличие дополнительного канала или инструментов в канале, новообразования в тканях и костях кости и пр.
  2. Изменений периодонта.
  3. Костей челюстей и прилежащего лицевого скелета. Переломы (травматические, патологические) костей челюсти и лицевого скелета, новообразования, воспалительные процессы (остеомиелит, периостит), состояние полостей в костях (околоносовых пазух) и пр.
  4. Мягких тканей челюстей. Травмы, новообразования, воспалительные процессы, инородные тела, состояние перед и после внедрения имплантата и пр.
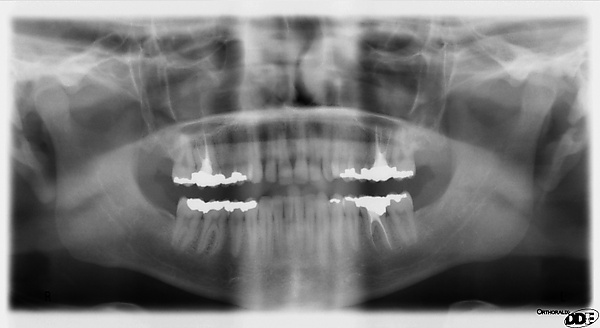
  5. Контроль этапов лечения и динамики течения заболеваний (качество пломбировки канала, штифты, имплантаты и пр.).

ОПТГ способствует точной постановке диагноза, контролю за лечением и помогает избежать многочисленных осложнений[2].

Галерея

См. также

Примечания

Ссылки