Нормобласт
Нормобласт, или эритробласт (др.-греч. ἐρυθρός — «красный» и βλαστός — «росток»), — это клетка-предшественник красного (эритроидного) кровяного ростка, у которой всё ещё есть ядро. Нормобласты являются непосредственными предшественниками ретикулоцитов, то есть юных эритроцитов.
Терминология
Термин нормобласт иногда используется как синоним термина эритробласт, но в других случаях принято считать, что нормобласты являются подкатегорией (частным случаем) эритробластов. А именно, в подобном случае выделяют две категории эритробластов:
- «нормобласты» — правильно, нормально развивающиеся эритробласты;
- «мегалобласты» — необычно большие эритробласты, которые могут наблюдаться при дефиците витамина B12 или фолиевой кислоты (мегалобластной анемии);
Стадии развития
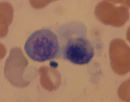
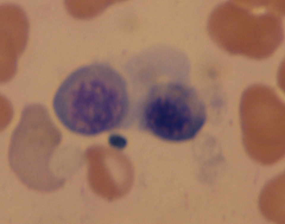
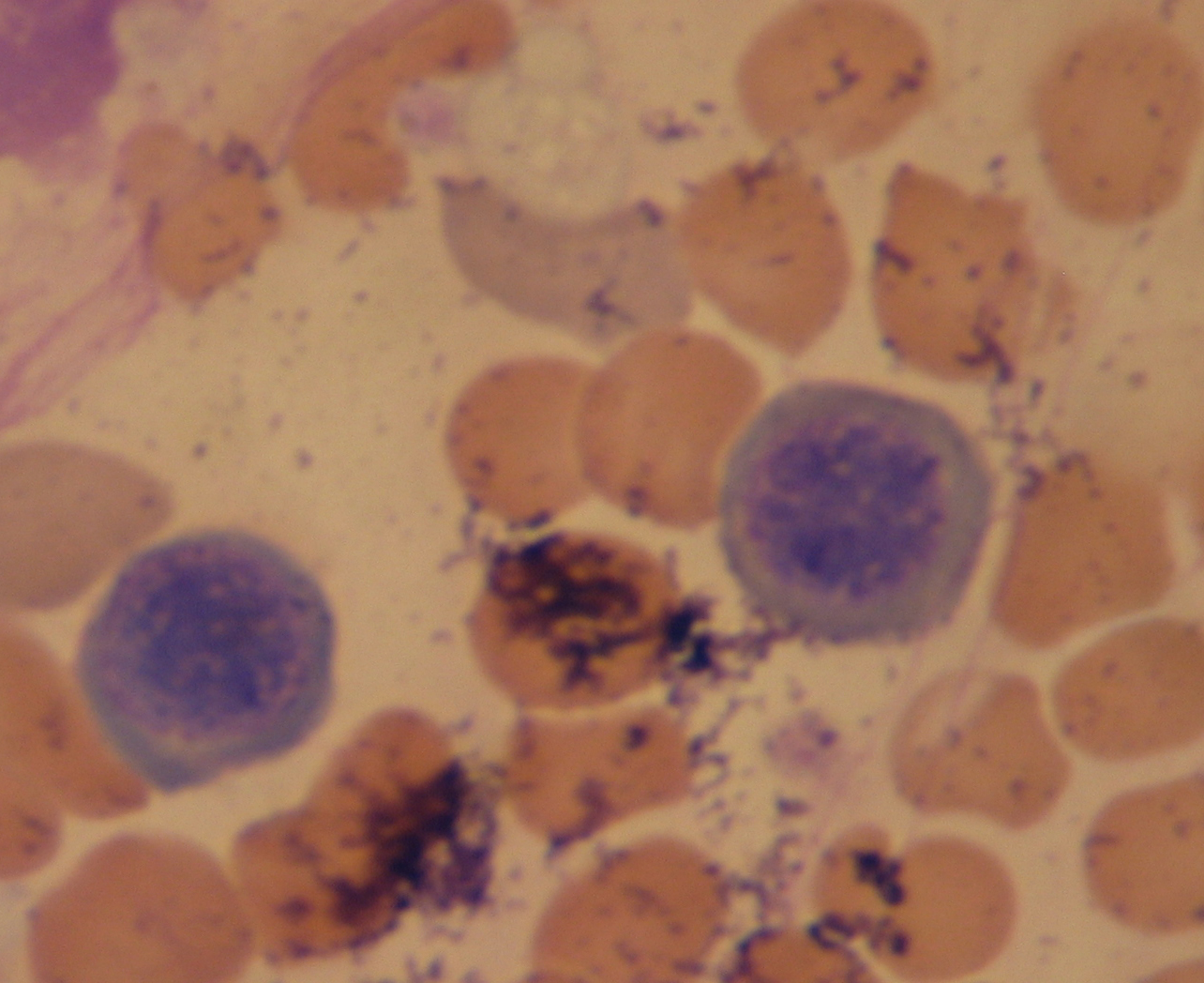
Нормобласт проходит четыре стадии своего развития.
| Схематическое изображение | Описание | Вид в микроскопии мазка |
| Проэритробласт (пронормобласт, препрорубрицит) | Нет | |
| Базофильный нормобласт (прорубрицит) | ||
| Полихроматофильный нормобласт (полихроматический нормобласт, рубрицит) | ||
| Ортохроматофильный нормобласт (ортохроматический нормобласт, метарубрицит) |
Литература
- Эритробласты // Элоквенция — Яя. — М. : Советская энциклопедия, 1957. — С. 159. — (Большая советская энциклопедия : [в 51 т.] / гл. ред. Б. А. Введенский ; 1949—1958, т. 49).









