Мельчайшие организмы
Мельчайшие организмы — это все представители бактерий, животных, растений и других организмов, встречающиеся на Земле, которые обладают минимальными значениями в своих классах (отрядах) по таким параметрам, как масса, длина, рост[1][2].
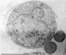
Вирусы
Мельчайшими ДНК-содержащими вирусами являются представители семейства гепаднавирусы (Hepadnaviridae), такие как вирус гепатита B (длина ДНК около 3200 нуклеотидов, диаметр капсида 42 нм); у парвовирусов (Parvoviridae) капсиды ещё более мелкие (18—26 нм), но более крупный геном (5000 нуклеотидов). Мельчайшим ДНК-бактериофагом является фаг Escherichia virus phiX174, геном которого немного крупнее генома вируса гепатита B (около 4000 нуклеотидов)[3].
Прокариоты
Термофильные археи Nanoarchaeum equitans (обнаружены в 2002 году в гидротермальных выходах у берегов Исландии) являются мельчайшими в мире свободноживущими клеточными организмами. Их размер составляет около 400 нм[4][5]. Среди внутриклеточных паразитов наименьшие размеры имеют бактерии рода Mycoplasma, например, Mycoplasma genitalium, диаметр клеток которой составляет 200—300 нм.
Животные
Некоторые виды Myxozoa (облигатно паразитирующих стрекающих) никогда не вырастают больше 20 мкм[6]. Длина взрослых представителей одного из мельчайших видов (Myxobolus shekel) составляет не более 8,5 мкм[7].
Самые мелкие представители моллюсков относятся к классу двустворчатых. Взрослые особи самого мелкого вида, Condylonucula maya, достигают в длину 0,5 мм[8].
Мельчайшими в мире паукообразными (и одним из мельчайших видов типа членистоногие в целом) являются тромбидиформные клещи из семейства Eriophyidae (Abacarus hystrix и др.), образующие галлы на растениях. Длина мельчайших представителей этой группы — от 0,125 до 0,250 мм[9].
Самыми мелкими известными ракообразными считаются тантулокариды Stygotantulus stocki, которые на стадии личинки-тантулюса обладают длиной около 100 мкм[10][11][12]. На других стадиях сложного жизненного цикла они обладают большими размерами: самцы достигают 400 микрон[10].
Мельчайшими в мире насекомыми признаны самцы паразитических наездников Dicopomorpha echmepterygis (перепончатокрылые), чья длина составляет 139 мкм (0,139 мм); самки на 40 % крупнее[13].
Мельчайшими в мире жесткокрылыми являются перокрылки из трибы Nanosellini которые имеют длину менее 1 мм; среди них жук Scydosella musawasensis (300 мкм), Vitusella fijiensis (310 мкм), представители рода Nanosella (от 300 до 400 мкм), в частности Nanosella fungi (от 300 до 400 мкм). Это одни из мельчайших представителей непаразитических видов насекомых[14][15].
Paedocypris progenetica — рыба из семейства карповых, эндемик Индонезии, самая мелкая известная рыба. Длина самцов не превышает 9,8 мм, самок — 10,3 мм. До описания лягушки Paedophryne amauensis рыбы Paedocypris progenetica были самым мелким известным видом позвоночных, в настоящее время остаются самым мелким известным видом рыб.
Мельчайшим позвоночным животным (и мельчайшим земноводным) является описанная в 2012 году лягушка Paedophryne amauensis. Найденные в Папуа-Новой Гвинеи её представители имели среднюю длину около 7,7 мм (7—8 мм)[16][17].
Виргинский круглопалый геккон (Sphaerodactylus parthenopion, Гекконовые) и карликовый геккон Sphaerodactylus ariasae — мельчайшие представители класса пресмыкающиеся. Их длина лишь 16—18 мм[18]. Мельчайшей в мире черепахой является Homopus signatus, эндемик Южной Африки. Самцы этого вида имеют размер 6—8 см, а самки около 10 см[19].
Одним из мельчайших представителей класса млекопитающие является свиноносая летучая мышь (Craseonycteris thonglongyai), обитающая в Мьянме и Таиланде[20]. Масса взрослой особи не превышает 1,7—2 грамм, длина тела — 2,9—3,3 см[21], размах крыльев — от 13 до 15 см[22].
На титул самого мелкого современного млекопитающего претендует также карликовая многозубка (Suncus etruscus). Средняя масса животного составляет около 1,8 грамма[23] (1,3[24]—2,4 грамм[25]).
Самая маленькой птицей является колибри-пчёлка (Mellisuga helenae, эндемик Кубы), длина её тела 5,51 см, масса может составлять 1,95 г[26] (по другим данным 1,6 г)[27].
Растения
См. также
Примечания
Литература
- Wood. The Guinness Book of Animal Facts and Feats. Sterling Pub Co Inc (1983), ISBN 978-0-85112-235-9.


