Кортикобазальная дегенерация
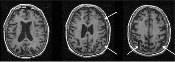
Кортикобазальная дегенерация — это асимметричная атрофия лобно-теменной коры, в базальных ганглиях и в чёрном веществе[1][2]. Выраженность и распределение изменений коррелируют с клиническими синдромами: синдром Ричарсона, фронтотемпоральная дольковая дегенерация или первично прогрессивная афазия. Также определяются тау-позитивные астроцитальные бляшки и волокна в белом и сером веществе, в особенности в верхней теменной и в верхней лобной извилине, в пре- и постцентральной извилине и в стриатуме.
Что важно знать
| Кортикобазальная дегенерация | |
|---|---|
| МКБ-10 | G31.0 |
| МКБ-9 | 331.6 |
| DiseasesDB | 33284 |
| MeSH | D000088282 |
История
Впервые описана Ребайц и другими в 1967 году как «кортикодентатонигреальная дегенерация с нейрональной ахромазией», пристальное внимание однако начала привлекать только с 80-х годов прошлого столетия[3].
Эпидемиология и этиология
После мультисистемной атрофии и прогрессивного супрануклеарного пареза кортикобазальная дегенерация является третьей по частоте среди заболеваний с атипичным паркинсонизмом. Является редким заболеванием, но четких данных по распространённости нет[4]. По оценкам, выявляется меньше чем 1 случай на 100 тыс. населения. Начало заболевания в классическом случае на шестом-седьмом десятке жизни. Средняя продолжительность заболевания составляет по результатам серии исследований в среднем восемь лет[4]. Причины и патогенез остаются неясными. Также как и в случае прогрессирующего супрануклеарного пареза взора является таупатией.
Диагностика
Диагностика заболевания является чисто клинической (по симптомам). Биопсии для уточнения диагноза, как правило, не проводятся.
Диагноз кортикобазальной дегенерации может быть выставлен только нейропатологически и опирается на баллонированые нейроны в атрофичных отделах коры и тау-позитивные тельца в олигодендроцитах. У пациентов, у которых были обнаружены вышеописанные изменения, при жизни определялся классический кортикобазальный синдром — это выраженный асимметричный гипокинетически-ригидный синдром с апраксией и нарушениями кортикальных сенсорных функций, дистонией, тремором и миоклонусом, деменцией и плохим эффектом на лечение леводопой[5].
Лечение
Симптоматическое лечение леводопой, допаминагонистами, МАО-ингибиторами и антихолинергиками ведут как минимум, в начале заболевания, в большинстве случаев к улучшению отдельных симптомов. Большое значение придается логопедическому, физиотерапевническому лечению и лечебной гимнастике. При нарушении глотания возможно наложение гастростомы. При спастической дистонии применяются локальные инъекции ботулина.
Примечания
Литература
- Neurologie compact für Klinik und Praxis, herausgegeben von Andreas Hufschmidt 6. Auflage 2013
- Thomas Brandt "Therapie und Verlauf neurologischer Erkrankungen 6. Auflage 2013 Kapitel «Atypische Parkinson-Syndrome» von A. Münchau und G.K. Wenning
- Коберская Надежда Николаевна. Трудный пациент: сложности диагностики двигательных и когнитивных нарушений на примере кортикобазального синдрома // Поведенческая неврология. — 2022. — № 1.


