Грудная полость

undefined
undefined

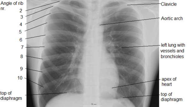
Грудная полость (лат. cavum thoracis) — анатомическое пространство, ограниченное внутренней поверхностью грудной клетки и верхней поверхностью диафрагмы. Стенки грудной полости выстилает внутригрудная фасция (лат. fascia endothoracica). Центральные отделы грудной полости заняты средостением, по бокам от которого расположены лёгкие. Лёгкие со всех сторон окружены щелевидными плевральными полостями, сформированными висцеральным (внутренним) и париетальным (наружным) листками плевры.

Литература

  • Сапин М.Р., Брыксина З.Г. — Анатомия человека //Просвещение, 1995 г.