Бертиниевы колонны
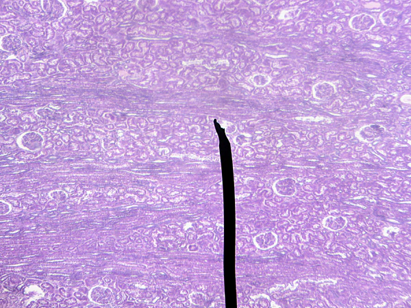
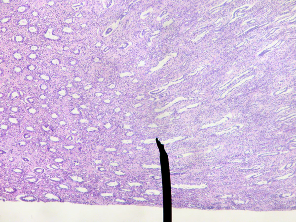
Берти́ниевы коло́нны (лат. columnae Bertinii), по́чечные столбы́ (лат. columna renalis), Берте́на столбы́ — отростки коркового слоя, которые в виде балок вдаются в мозговой слой, охватывают пирамиды и, спускаясь к воротам почки, располагаются между корковым (лат. substantia corticalis) и мозговым слоем (лат. substantia medullaris), заполняя промежуток между пирамидами почечной паренхимы. Во фронтальной плоскости почки перегородки между пирамидами имеют форму колонн. Почечные столбы представлены узкими участками соединительной ткани, в которых проходят кровеносные сосуды — междолевые артерия и вена[1]. Одно из названий (Бертена столбы[2]) дано в честь французского анатома Joseph Bertin[3]
Поверхность среза почечной паренхимы благодаря расположенным в области колонн извитым в различных направлениях канальцам (лат. tubuli contorti) отличается от остальной ткани пирамид, имеющей характерную радиарную исчерченность. Участки ткани с подобной макроскопически видимой радиарной (лучевой) штрихованностью, наблюдаются в корковом слое (лат. pars radiata). При микроскопическом исследовании можно убедиться, что они связаны с веществом пирамиды и являются выростами коркового слоя, проникающими через мозговой слой, достигая его периферии. В пределах одной и той же пирамиды несколько подобных образований ограничивают поля кортикального слоя, лишённые радиарной (лучевой) штрихованности — (лат. pars convoluta), выделяя в нём обособленные дольки (лат. lobuli corticales).


