Paenibacillus polymyxa
Paenibacillus polymyxa (лат.) — типовой вид рода Paenibacillus, грамположительная спорообразующая палочковидная бактерия. Является продуцентом антибиотика полимиксина. Обитает в ризосфере растений и защищает растение от фитопатогенов[1].
Что важно знать
| Paenibacillus polymyxa | |
|---|---|
| Научная классификация | |
|
Домен: Тип: Класс: Порядок: Семейство: Род: Вид: Paenibacillus polymyxa |
|
| Международное научное название | |
|
Paenibacillus polymyxa (Prazmowski 1880) Ash et al. 1994 |
Биологические свойства
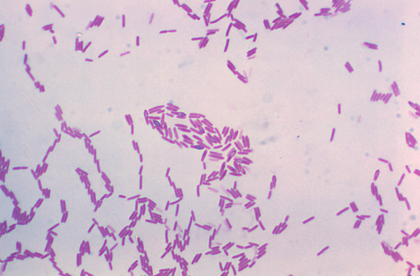
Палочковидная бактерия размером 2—5 × 0,6—0,8 мкм, формирует термостабильную овальную эндоспору, превышающую размер клетки (клетка имеет форму лимона). Синтезируют леван из сахарозы, формируют слизистую капсулу.
Хемоорганогетеротроф, аэроб, факультативный анаэроб (способен к нитратредукции). Растёт на простых питательных средах. На агаризованных питательных средах формируют бесцветные, плоские или выпуклые, гладкие и слизистые колонии с пильчатым краем. Образует каталазу, реакция Фогеса-Проскауэра положительная (VP тест), гидролизирует казеин, желатин и крахмал. Утилизирует с образованием кислоты и газа L-арабинозу, D-глюкозу, D-маннитол и D-ксилозу. Не растёт в присутствии 5 % NaCl, не образует индол, не ассимилирует цитрат, не дезаминирует фенилаланин, не расщепляет тирозин[2]. Некоторые штаммы способны гидролизовать целлюлозу[3]. Способны к фиксации газообразного азота[4].
Применение
Paenibacillus polymyxa является продуцентом группы антибиотиков полимиксинов, также продуцирует и некоторые другие антибиотики, обладающие бактерицидной и фунгицидной[5] активностью[6]. Paenibacillus polymyxa обитает в ризосфере растений, образуя биоплёнки[7], и принимает участие в биозащите растений[8]. Paenibacillus polymyxa имеет сложные специфические взаимоотношения с растением-хозяином на молекулярно-генетическом уровне, изменяя профиль экспрессии генов растения-хозяина[9]. Экзополисахарид Paenibacillus polymyxa может использоваться для биосорбции тяжёлых металлов и соответственно использоваться для очистки сточных вод и промышленной добычи тяжёлых металлов[10].


