Трихром по Гомори
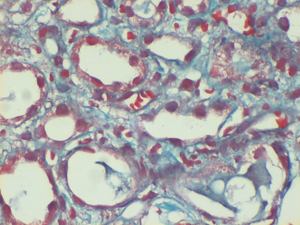
Трихром Гомори (Окраска трихромом по Гомори) — вариант трёхцветного окрашивания микропрепаратов, который позволяет различить коллагеновые волокна, мышечную ткань и эритроциты[1]. Используется при окрашивании материала биопсий для диагностики некоторых форм митохондриальных миопатий[2], например, немалиновых миопатий[3].
Также может быть использован для окрашивания миелиновых оболочек периферических нервов[4].
Используемые реагенты
В настоящее время наибольшее распространение имеют модифицированные варианты трихрома Гомори, такие как модификация Энгеля-Каннингема[6]. Цитоплазма и соединительно-тканные волокна окрашиваются с помощью раствора фосфотунгстовой кислоты или уксусной кислоты.
- Для усиления конечной окраски срезы тканей обрабатывают жидкостью Буэна (в состав входит насыщенный водный раствор пикриновой кислоты, 40 % формалин, ледяная уксусная кислота, гидроксид натрия и натрий-фосфатный буфер[7]).
- Ядра окрашивают железным гематоксилином Вейгерта или гематоксилином Харриса.
- Хромотропом 2R окрашивается цитоплазма и мышечные волокна.
- Зелёный прочный FCF либо светло-зеленый SF (в оригинальном протоколе Гомори[2]) или анилиновый синий используется для окрашивания коллагеновых волокон.
После окрашивания микропрепарат промывают в уксусной кислоте, чтобы сделать его более прозрачным[6][1].
Результат окрашивания
- Ядра окрашиваются в оттенки от красного до фиолетового.
- Миофибриллы нормальных мышц окрашиваются в зелёно-голубые оттенки (в зависимости от используемого красителя). А-диски и I-диски саркомера принимают вид чётко различимых полос.
- Мембраны между миофибриллами окрашиваются в красный.
- Коллаген окрашивается в зелёный[6].