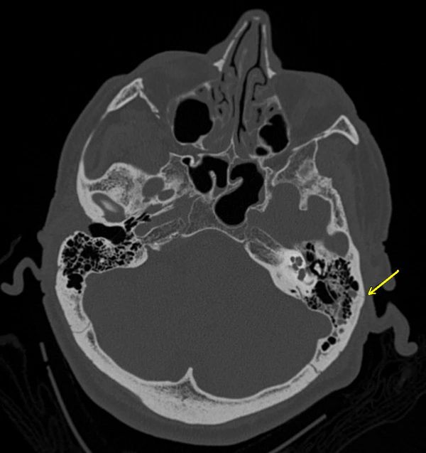
Симптом Бэттла
Симптом Бэттла (Бэттла признак) — кровоподтек (экхимоз) над сосцевидным отростком височной кости. Часто это единственный внешний признак базилярного (от лат. basilaris — основной, относящийся к основанию черепа) перелома черепа, чаще всего каменистой части височной кости.[1][2][3]
Что важно знать
| Симптом Бэттла |
|---|
История
Симптом назван именем английского хирурга Уильяма Генри Баттла, который в XIX веке описал 17 пациентов с переломами основания черепа, имевших гематому в области сосцевидного отростка. Он также отмечал, что для появления этого симптома часто связано с тяжелой черепно-мозговой травмой, сопровождающейся повреждением мозга.[4][5] Однако первым связь между наличием кровоподтека за ухом или в области сосцевидного отростка и черепно-мозговой травмой описал другой английский хирург Сэр Прескотт Г. Хьюитт.[6]
Клиническая картина
Признак Бэттла проявляется за одним или обоими ушами. Существуют определенные сложности для выявления данного симптома у больных с черепно-мозговой травмой. Его можно не заметить из-за волос. Кроме того, при оказании скорой медицинской помощи сразу после получения травмы данного симптома может не быть так как он обычно через 24-48 часов после перелома и может сохраняться в течение нескольких дней или недель.[4] При переломе костей черепа симптом Бэттла может сопровождаться гематомами вокруг глаз (симптом глаз енота), истечением ликвора из носа (ликворея), повреждением лицевого нерва, кровоизлиянием в полость среднего уха, а также угнетением сознания при тяжелой черепно-мозговой травме.[1]
В исследовании, проведенном в Бразилии и включавшем 172 человека с черепно-мозговой травмой, показано, что чувствительность выявления симптома составила 66 % для внутричерепной травмы и 100 % для перелома основания черепа.[7]
Механизм
Приложение достаточно большого усилия для перелома основания черепа вызывает появление кровоподтеков в области сосцевидного отростка из-за повреждения прилегающих к нему тканей. Также признак Бэттла может проявиться вследствие поступления крови из места перелома в область сосцевидного отростка.[8]
Дифференциальный диагноз
Гематома расположенная в области сосцевидного отростка иногда может быть при переломе мыщелка нижней челюсти[7]


