Линия Дамуазо
Ли́ния Дамуазо́ (ли́ния Соколо́ва — Э́ллиса — Дамуазо́) — дугообразная линия верхней границы перкуторного притупления, характерная для экссудативного плеврита. Высшая точка линии Дамуазо обычно располагается на задней подмышечной линии, откуда граница перкуторной тупости понижается в обе стороны: и кзади (к позвоночнику), и кпереди (к грудине)[1]. Дугообразный характер расположения верхней границы экссудата (а следовательно, и границы перкуторной тупости) обусловлен наименьшим сопротивлением распространения экссудата именно в боковых частях плевральной полости[2]. При изменении положения тела больного линия Дамуазо не смещается, так как над верхней границей экссудата происходит слипание между собой воспалённых листков плевры[3]. По мере накопления плеврального выпота линия Дамуазо постепенно укорачивается и может не определяться при тотальном заполнении плевральной полости[4].
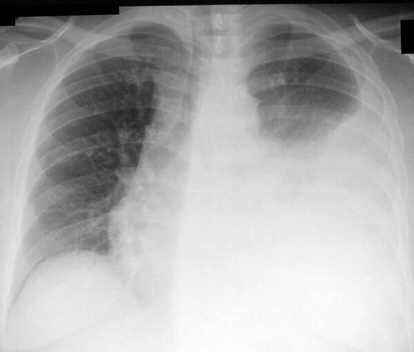
Рентгенологически линии Дамуазо соответствует граница затемнения, обусловленного жидкостью в плевральной полости[5].
Практическое значение
Дугообразная граница перкуторной тупости позволяет на основании физикальных данных отдифференцировать экссудативный плеврит от состояний, характеризующихся одновременным скоплением в плевральной полости воздуха и жидкости (гидропневмоторакс, пиопневмоторакс), при которых граница перкуторной тупости располагается горизонтально.
Примечания
Литература
- Моисеев В. С. Экссудативный плеврит // Болезни лёгких. — М.: Издательство Университета дружбы народов, 1987. — С. 112—113. — 128 с. — 28 640 экз.
- Лазовскис И. Р. Справочник клинических симптомов и синдромов. — Издание второе, переработанное и дополненное. — М.: Медицина, 1981. — С. 40. — 512 с. — 50 000 экз.
- Окороков А. Н. Диагностика болезней внутренних органов. — М.: Медицинская литература, 2001. — Т. 3. Диагностика болезней органов дыхания. — С. 419—420. — 464 с. — 15 000 экз. — ISBN 5-896-77-015-4.
- Руководство по пульмонологии / Под редакцией Путова Н. В., Федосеева Г .Б. — 2-е издание, переработанное и дополненное. — Л.: Медицина, 1984. — С. 421. — 456 с. — 50 000 экз.
- Тареев Е. М. Внутренние болезни. — Издание второе. — М.: МЕДГИЗ, 1956. — С. 100. — 582 с. — 125 000 экз.
- Тюхтин Н. С., Полетаев С. Д. Плевральный выпот // Болезни органов дыхания: Руководство для врачей. В 4 томах / Под редакцией Н. Р. Палеева. — М.: Медицина, 1989. — Т. 2. Частная пульмонология. — С. 344—350. — 512 с. — 40 000 экз. — ISBN 5-225-01647-2.
- Черноруцкий М. В. Диагностика внутренних болезней. — Издание четвёртое, переработанное и дополненное. — Л.: МЕДГИЗ, 1954. — С. 290. — 660 с. — 50 000 экз.


