Коронарография

undefined

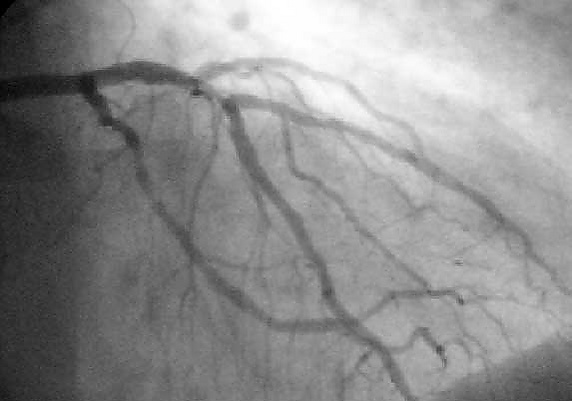
Коронарография — рентгеноконтрастный метод исследования, который является наиболее точным и достоверным способом диагностики ишемической болезни сердца (ИБС), позволяя точно определить характер, место и степень сужения коронарной артерии.

Этот метод является «золотым стандартом» в диагностике ИБС и позволяет решить вопрос о выборе и объёме проведения в дальнейшем таких лечебных процедур, как баллонная ангиопластика (ангиопластика), стентирование и коронарное шунтирование.

Во время коронарографии интервенционный кардиолог вводит водорастворимое рентгеноконтрастное вещество последовательно в левую и правую коронарные артерии, используя для этого ангиографические катетеры. При каждом таком введении рентгеноконтрастное вещество быстро заполняет просвет артерии на всем её протяжении. В потоке рентгеновских лучей туго контрастированная артерия отбрасывает тени на детектор ангиографа, отображая информацию о своем внутреннем рельефе. Так, выполнив съёмку в нескольких проекциях, можно получить наиболее полное представление об анатомии и степени поражения русла коронарных артерий. Стоит отметить, что во время исследования пациент находится в потоке ионизирующего излучения, и эквивалентная доза облучения может составить, в среднем, 2-10 миллизиверт за одно исследование.