Кожа и терморегуляция
Кожа — наружный покров тела человека, выполняющий защитную, терморегуляторную, рецепторную и обменную функции. Она состоит из трёх слоёв: эпидермиса, дермы и подкожной клетчатки. Кожа защищает организм от внешних воздействий, участвует в ощущении, поддержании температуры и обмене веществ, а также обладает способностью к регенерации.
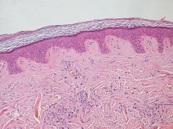
Строение кожи
Кожа представляет собой многослойную структуру, состоящую из эпидермиса, дермы и подкожной жировой клетчатки.
Верхний слой — эпидермис — образован многослойным плоским эпителием и выполняет защитную функцию. Он предохраняет организм от воздействия внешней среды, включая механические повреждения, химические вещества и патогены.
Под ним располагается дерма, или собственно кожа, представленная соединительной тканью. Этот слой содержит разветвлённую сеть сосудов, нервные окончания, сальные и потовые железы, а также корни волос.
Самым глубоким является подкожный слой, состоящий преимущественно из жировой ткани. Он обеспечивает теплоизоляцию, амортизацию и является резервом энергии.
Функции кожи
Кожа играет важную роль в системе терморегуляции организма человека, обеспечивая поддержание постоянной температуры тела при изменяющихся условиях окружающей среды. Она выполняет функции теплоотдачи и теплоизоляции, регулируя процесс обмена теплом между внутренней средой организма и внешней средой.
Механизм терморегуляции осуществляется через сложную сеть кровеносных сосудов, потовых желез и нервных окончаний. При повышении температуры окружающей среды происходит расширение капилляров кожного покрова, усиливается кровоток, что способствует усиленной теплоотдаче. Одновременно активируются потовые железы, выделяющие пот, испарение которого снижает температуру тела. В условиях холода сосуды кожи сужаются, уменьшая приток крови к поверхности тела и, следовательно, ограничивая теплопотери.
Кожа обеспечивает не только физиологическую, но и рефлекторную терморегуляцию. Сенсорные рецепторы, расположенные в различных слоях кожного покрова, воспринимают температурные изменения и передают сигналы в центральную нервную систему. На основе этих сигналов организм запускает механизмы сохранения или отдачи тепла.
Терморегуляция
Терморегуляция — поддержание постоянной температуры тела, необходимой для нормального функционирования организма.
Механизмы терморегуляции:
- Физические — теплоотдача через кожу посредством излучения, конвекции, теплопроводности и испарения пота.
- Химические — изменение уровня метаболизма для увеличения или уменьшения теплообразования.
Роль кожи в терморегуляции:
- Сужение и расширение сосудов — при охлаждении сосуды сужаются, уменьшая теплоотдачу; при нагревании — расширяются, усиливая теплоотдачу.
- Потоотделение — испарение пота с поверхности кожи снижает температуру тела.
Литература
- В. В. Пасечник, А. А. Каменский, Г. Г. Швецов, З. Г. Гапонюк. родителей/электронные учебники/9кл. Пасечник, Касенский Биология (Линия жизни).pdf Биология. 9 класс : учеб. для общеобразоват. организаций: издание в pdf-формате / В. В. Пасечник. — Москва: Просвещение, 2018.
- В. С. Рохлов, С. Б. Трофимов, А. В. Теремов. Биология. 9-й класс: учебник: издание в pdf-формате. — Москва: Просвещение, 2022.
- В. В. Пасечник и др. Биология. 10 класс : учеб. для общеобразоват. организаций : углубл. уровень / В. В. Пасечник. — М.: Просвещение, 2019.
- В. В. Пасечник и др. Биология. 11 класс: учеб. для общеобразоват. организаций: углубл. уровень / В. В. Пасечник. — М.: Просвещение, 2019.
- А. В. Теремов, Р. А. Петросова. Биология. Биологические системы и процессы: учебное пособие для общеобразовательных организаций (углублённый уровень). В 2 ч. Ч. 1. — М.: Мнемозина, 2018.
- А. В. Теремов, Р. А. Петросова. Биология. Биологические системы и процессы: учебное пособие для общеобразовательных организаций (углублённый уровень). В 2 ч. Ч. 2. — М.: Мнемозина, 2018.


