Всемирный день людей с синдромом Дауна
21 марта — Международный день человека с синдромом Дауна. Впервые отмечался в 2006 году по предложению греческого генетика Стилианоса Антонаракиса из Женевского университета. На VI международном симпозиуме по синдрому Дауна, проводимом в Пальма де Майорка, по инициативе правлений Европейской и Всемирной ассоциаций «Даун-синдром» было решено объявить 21 марта Международным днём человека с синдромом Дауна.
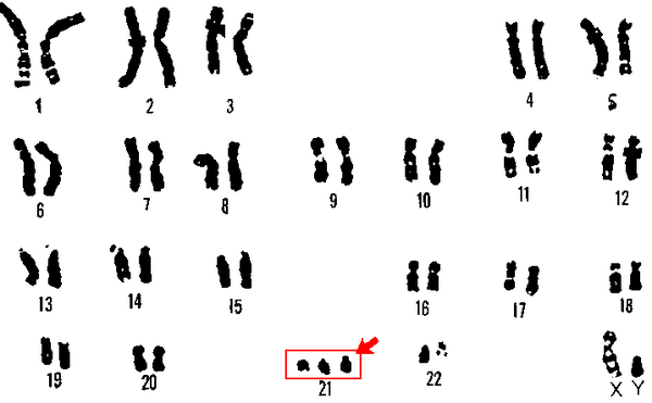
Двадцать первый день третьего месяца был выбран, поскольку синдром Дауна связан с 3 копиями 21-й хромосомы (трисомия по 21-й хромосоме).
По состоянию на 2019 год, в России проживает 51 тыс. человек с синдромом Дауна, в том числе 25 тыс. детей[1]. Социализация детей и студентов с синдромом Дауна посредством занятий спортом (Бочча, голбол, мини-футбол) проводится в Российском государственном социальном университете под руководством декана Факультета физической культуры, доктора педагогических наук Александра Махова[2].
Примечания
Ссылки
- Англоязычный сайт, посвященный международному дню человека с синдромом Дауна, проводимому 21 марта Архивная копия от 17 июля 2008 на Wayback Machine
- Статья из газеты «Петербургский Час пик» о Международном дне людей с синдромом Дауна
- Спорт для особенных детей. Гудок (15 марта 2019). Дата обращения: 15 марта 2019.


